髋关节在什么部位?
髋关节在什么部位?
髋关节,我们称之为胯部,大胯部,我们是左右两个,有两个髋关节,大胯部是支撑上肢躯干的主要承重关节,而膝关节、踝关节在一起,是我们负重步行运动的重要下肢关节。髋关节是骨盆的双侧解剖结构。其主要解剖结构包括髋臼、股骨头及周围关节囊和相应的肌肉韧带。
为什么一些人髋关节很宽?
您好,很高兴回答您的问题,希望对您有帮助。
1、首先,我们来了解什么是髋关节?先来看一下构造和解剖图。
髋关节(hip joint),由股骨头与髋臼相对构成,属于杵臼关节。髋臼内仅月状面被覆关节软骨,髋臼窝内充满脂肪,又称为Haversian腺,可随关节内压的增减而被挤出或吸入,以维持关节内压的平衡。在髋臼的边缘有关节盂缘附着。加深了关节窝的深度。在髋臼切迹上横架有髋臼横韧带,并与切迹围成一孔,有神经、血管等通过

髋关节周围血管分布:

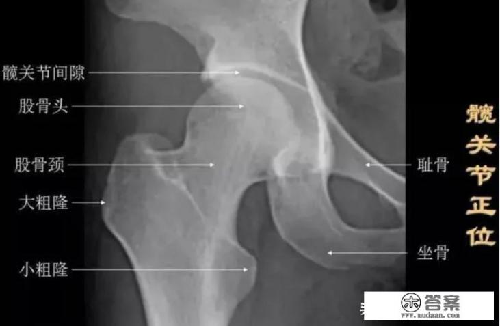
常规拍片,都会拍髋关节单侧,比较分辨率高,观察病灶细致,也可以看到发育的情况,根据人天生或者后天的改变而变化。下图就是X线检查,标记好解剖部位,清晰看到髋关节周围一些解剖是叫什么,才知道髋关节有哪些功能?

常规拍摄正位片和侧位片。正位线片上,因髋臼三骨之间以“Y”形软骨相连,融合之前,表现为横行带状透亮影,其宽窄随着年龄变化而改变。年龄越小此透亮带越宽;年龄越大,透亮带变窄,15~17岁左右消失。股骨头大部套在髋臼内,表面光滑,为致密的细弧线。头的中心偏后下部有一小凹陷,是股骨头凹,有时可投影到股骨头弧线内侧,显示为小环形透亮圈。侧位片上,中央的凹窝是髋臼,呈半圆形的致密线。
特殊位置,还拍髋关节蛙式位,主要看有没有髋关节脱位或是股骨头坏死等疾病。有些小孩一出生就患有先天性髋关节脱位,像这样的还是要尽早进行矫正治疗。
2、其次,看一下髋关节的功能性,髋关节为多轴性关节,能作屈伸、收展、旋转及环转运动。髋关节为多轴性关节,能作屈伸、收展、旋转及环转运动。
3、最后,髋关节的测量,有很多种,就不一一介绍了。
股骨颈干角测量:
髋关节正位片上,股骨颈的长轴与股骨干纵轴之间形成的角度称为颈干角,又称内倾角。正常值在110—140°之间,男性平均为132°,女性平均为127°。颈干角随年龄的增大而减小,儿童的颈干角大于成年人,儿童平均为151°。颈干角大于正常值为髋外翻,小于正常值为髋内翻。
股骨颈前倾角:
髋关节侧位片上,股骨颈纵轴线与股骨干纵轴线所成的夹角,新生儿正常35° ,成人为12° ~15° ,平均12.31° 。临床上股骨颈骨折应根据次标准复位。
Skinner线:
在成人髋关节正位片上,从股骨大转子顶端作股骨纵轴线AB的垂线CD,正常情况下,此线应通过圆韧带窝或其下方,圆韧带窝至上述两线交点的距离是4~5cm。若Skinner线超过圆韧带窝,提示股骨颈或大转子错位骨折。
总而言之,髋关节因人而异,也有天生或者后天改变,做个X线检查,可以测量各个角度以及了解髋关节的正常结构,如果做得细致化一点,就会各个角度测量,那都是很专业化的测量了。
版权声明
本文仅代表作者观点,不代表木答案立场。
